Implanty dentystyczne Umów się na bezpłatną konsultację
Umów się na wizytę
Dental Implants
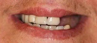
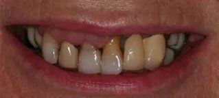
Implanty dentystyczne w Niles, IL
Implanty dentystyczne używane obecnie przez większość specjalistów to implanty, które zastępują korzenie zębów w miejscach gdzie brakuje zębów.
Wymiana nie tylko korony, ale też korzenia zęba jest niezwykle ważna, ponieważ naturalne korzenie zębów osadzone w kości szczęki, chronią kość.
Opinie pacjentów
"Dr. ANASINSKI - Excellent heart gold hands and great experience I think anybody can trust like a doctor like a dentist like a specialist. From the gum and from the dental implant . I recommend to everyone. My name is Peter I am patient 20 years and always happy✌️"
Peter S.
★★★★★
"My experience from the first visit was a detailed plan on how to fix my dental problems. Dr. Anasinski was very thorough and outlined the course of my treatment. I felt very comfortable with the entire process and there was no pressure from her. My gums were not healthy for dental implants and other dentists that I have seen in the past didn't take the time to fix my initial problem. Dr. Anasinki corrected my gums by making my dental bones strong to support my new implants she put in. The implants were put in perfectly and I am very happy with the results.
I can enjoy eating food again without pain and my implants are stronger than ever. I am smiling showing off my teeth thanks to Dr. Anasinski!"
Leonarda F.
★★★★★
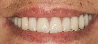
Procedura implantacji stomatologicznej
Kiedy brakuje korzeni zębów, kość która wcześniej podtrzymywała zęby zanika. Ten proces nazywa się resorpcją kości. Utrata kości w szczęce powoduje zapadanie się profilu twarzy, utratę podparcia warg, zwiększenie zmarszczek wokół ust oraz zmianę kształtu nosa i brody.
Kość można zachować zastępując brakujące korzenie zębów implantami dentystycznymi. Kość tworzy silne wiązania z implantami, dlatego mogą one pełnić te same funkcje, co naturalne korzenie zębów: mocną podstawę do gryzienia i żucia, oraz stymulację kości do utrzymania jej w miejscu.
Niewielkie implanty dentystyczne są wykonane z tytanu, biokompatybilnego materiału, który nie jest odrzucany przez organizm. Wskaźnik sukcesu powodzenia leczenia implantologicznego na poziomie 95% oraz 50 lat potwierdzonych badań klinicznych sprawiają, że implanty dentystyczne mają najlepsze rokowania, jako najskuteczniejsza i długoterminowa metoda wymiany zębów.








